Notes
Slide Show
Outline
1
İnce Bağırsak Hastalıkları Semiyolojisi
  • Prof.Dr.Sümer Yamaner
2
www.sumeryamaner.org
3
İnce Bağırsak

  • Duodenum


  • Jejunum


  • İleum
4
Embriyoloji

  • Foregut (Önbağırsak)


  • Midgut (Orta bağırsak)


  • Hindgut (Ardbağırsak)
5
 
6
Anatomi
  • İnce bağırsak boyu değişken.
  • Canlıda ve kadavrada farklı.
  • Duodenum 20 cm
  • Jejunum 100 – 110 cm
  • İleum 150 – 160 cm
  • Kişinin boyunun 1.6 katı
7
İşlevler

  • Enzimler


  • Emilim


  • Endokrin işlevler


  • Savunma mekanizmaları
8
Motilite

  • Segmentasyon



  • Peristaltizm
9
Tanı Yöntemleri
  • Semptomatoloji
  • Fizik bulgular
  • Konvansiyonel radyoloji
    • Kontrastlı
    • Kontrastsız
  • Endoskopi
    • Klasik
    • Peroperatuar
    • Kapsül
  • İleri radyolojik yöntemler
    • Bilgisayarlı tomografi (BT)
    • Manyetik rezonans görüntüleme (MR)
    • Anjiyografi
  • Sintigrafi
10
Semptomatoloji
  • Emilim işlevlerindeki bozulma sonucunda malabsorpsiyon sendromları, diareler, ortaya çıkabilir.
  • Bağırsak tıkanıklıklarında bu motilite sorununa ait belirti ve bulgular beklenir.
  • Nöroendokrin salgı yapan hücrelere ait sorunlarda, bu hücrelerin salgıladıkları peptidlere göre geniş bir spektrumda semptomatoloji ile karşılaşılır.
11
Fizik Bulgular
  • Hastanın genel durumu
  • Hidratasyon durumu
  • Beslenme durumu
  • Anemi
  • Palpasyonla ağrı ve hassasiyet
  • Rebound hassasiyet
  • Kas defansı
  • Kitle
  • Bağırsak sesleri
12
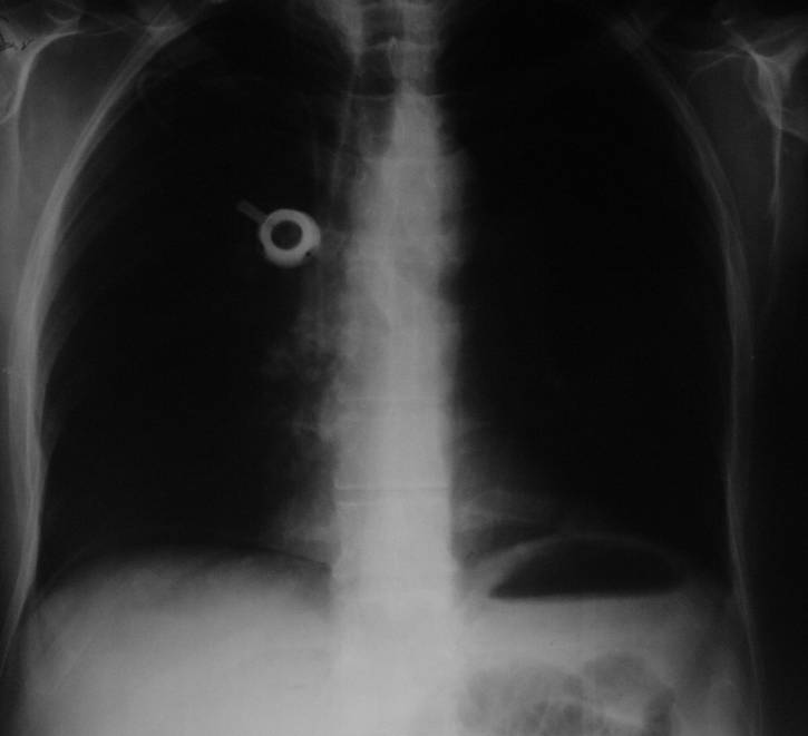
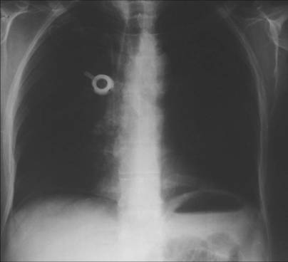
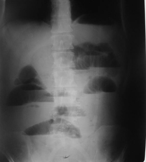
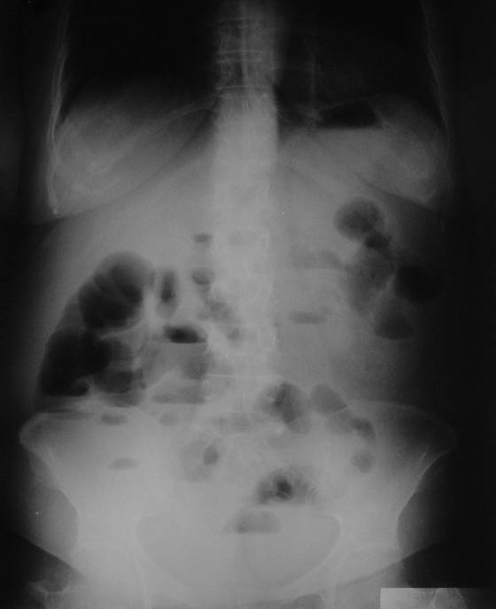
Konvansiyonel Radyoloji


  • Direkt grafiler genellikle akut karın sendromu varlığında ya da akut tıkanıklıkta.
13
 
14
 
15
 
16
 
17
Konvansiyonel Radyoloji

  • Kontrastlı grafilerde oral yolla verilen baryumun kontrast ajan olarak kullanılması ile ince barsak pasaj grafileri çekilir.
    • Opak maddenin geçiş süresi
    • Opak maddenin takılması
    • Lümende olabilecek doluş defektleri
18
 
19
 
20
Konvansiyonel Radyoloji


  • Mukozal yapının daha iyi ortaya konabilmesi amacıyla “enteroclysis”.
21
Endoskopi
  • Duodenum ve proksimal jejunum ile terminal ileumun patolojilerinde.


  • Özel enteroskoplar aracılığı ile ince bağırsağın büyük bir kesimi endoskopik olarak incelenebilir.


  • Biyopsi alınabilir, polipektomi yapılabilir.


  • Kapsül endoskopi.
22
 
23
 
24
 
25
 
26
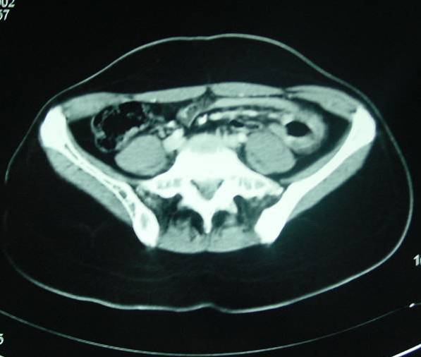
İleri Radyolojik Yöntemler

  • Bilgisayarlı tomografi (BT)


  • Manyetik rezonans görüntüleme (MR)


    • Özellikle kitle oluşturan lezyonlarda.
    • İlk aşamada kullanılmaları önerilmez.
    • Konulmuş olan bir tanı sonrası yaklaşımı planlamada yardımcı olurlar.
27
 
28
 
29
Kanamalarda
  • Sintigrafi
    • Tc-99 Sülfür Kolloid
    • Tc-99 ile işaretli eritrositler
    • En az 0.5 ml /dak kanama

  • Anjiyografi
    • En az 0.5 ml/dak kanama
30
 
31
 
32
 
33
 
34
 
35
 
36
 
37
 
38
 
39
 
40
 
41
 
42
 
43
 
44
 
45
 
46
 
47
 
48